Laser Gum Treatment
Laser Gum Treatment
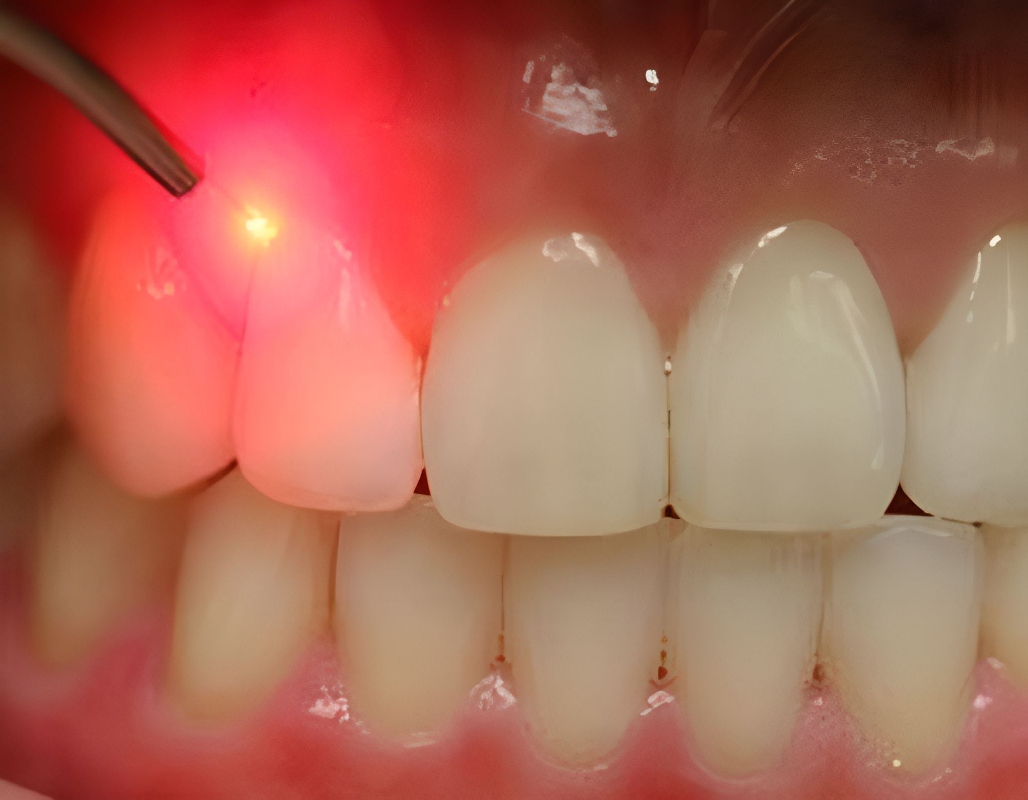
Laser Gum Treatment is a modern, minimally invasive dental procedure used to treat gum infections, bleeding gums, gum recession, dark gums (melanin pigmentation), and deep pockets caused by periodontal disease. The laser precisely targets infected tissues and harmful bacteria without cutting, stitches, or excessive pain. This makes the treatment comfortable, safe, and highly effective for restoring healthy gums.
- Painless and minimally invasive — no blades, no sutures, and faster healing.
- Reduces bleeding, swelling, and gum inflammation immediately.
- Kills bacteria deep inside gum pockets using high-precision laser energy.
- Promotes faster tissue regeneration and strengthens gum attachment to teeth.
- Ideal for treating severe gum disease without painful surgical procedures.
During the procedure, the dentist gently inserts a soft-tissue laser tip into the infected gum pockets. The laser energy removes diseased tissue, destroys harmful bacteria, and sterilizes the entire pocket. This allows healthy gum tissue to reattach naturally to the tooth surface. Scaling and root planing may be performed along with the laser to clean hardened deposits and smooth the root surface for better healing.
Conditions Treated with Laser Gum Therapy
- Chronic gum infection (Periodontitis)
- Bleeding or swollen gums
- Bad breath caused by gum disease
- Gum pigmentation (dark brown/black gums)
- Deep gum pockets around teeth
- Gum overgrowth or gummy smile
Benefits of Laser Gum Treatment
- Faster healing and minimal discomfort
- No stitches and reduced chair time
- Precise removal of infected tissue without damaging healthy gums
- Reduced risk of reinfection due to laser sterilization
- Improved gum health and long-lasting results
Post-Treatment Care
- Avoid spicy, hard, or crunchy foods for 24–48 hours
- Maintain gentle brushing and warm salt-water rinsing
- Follow up visits are recommended to monitor gum healing
Laser Gum Treatment is an excellent option for patients seeking a comfortable, effective, and technologically advanced way to treat gum disease. It preserves healthy tissue, enhances healing, and helps maintain strong, healthy gums for years.